臨床に与えるメリット


当施設では、ルーチンプロトコルにCompressed SENSEを使用し、検査時間を20%短縮させています。読影時では、Compressed SENSEを使用したのかどうか区別することができないくらい画質の変化はありません」
John P. Karis医師、MRIおよび脳撮像ディレクター、Department of Neuroradiology at Barrow Neurological Institute、米国
Philips 1.5Tおよび3.0T MRIの各製品

画像品質は実質的に同等1
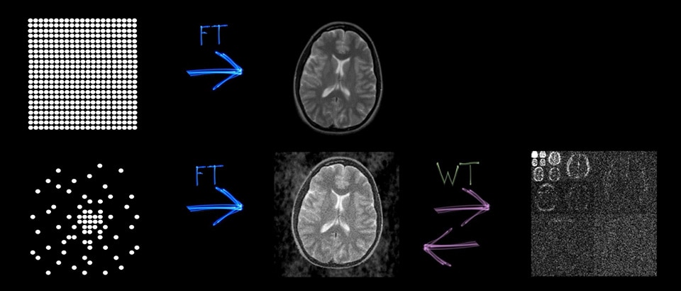
2Dおよび3Dのあらゆる撮像画像に適用可能
空間分解能が最大64%向上1
画質は同等のまま高速化が可能1
2Dおよび3Dのあらゆる撮像画像に適用可能
空間分解能が最大64%向上1

Compressed SENSEを使用して得られる高解像度の画像について、改めて解説したいと思います」
Dr. Jan W. Casselman医師、医学博士、放射線科科長、A.Z. Sint-Jan Hospital、ブリュージュ、ベルギー、(兼任)頭部および頸部の「コンサルタント放射線科医」、A.Z. Sint Augustinus Hospital、アントワープ、ベルギー

患者や患者の担当医に、より柔軟かつ短時間でMRI検査を提供できるようになりました」
使用しているシーケンスの数はCompressed SENSEを導入する以前と変わりませんが、はるかに高速化されました」
子安英樹医師、脳神経外科医、子安脳神経外科クリニック院長
You are about to visit a Philips global content page
Continue