フィリップスのVascular suiteは、ワークフローオプション、専用のインターベンショナルツール、および幅広い高度な血管デバイスを提供して、手技の効率を改善し、大動脈疾患の患者の転帰を大きく改善します。これらは、治療の選択、支援、実施、結果の確証という手技の各ステップをサポートします。
1ヶ月の使用後、VesselNavigatorの臨床的価値が投資を上回りました。"
F. Vermassen教授
University Hospital Ghent

これは、St. Antonius HospitalのInterventional Vascular Departmentで、Azurionシステムの導入後に達成したラボ性能の多くの改善の1つに過ぎませんが、独立第三者機関による調査でAzurionによるワークフロー改善の統計的優位性が示されました。

Azurionの導入によってワークフローの改善が実現し、その結果として効率性の向上が実証されています。大動脈疾患の患者数が増え続けているなか、Azurionは、血管疾患治療チームが作業の効率性と一貫性を保ちながら、インターベンションにおいては患者と放射線被ばくの管理に集中できるように設計されたワークフローのイノベーションを数多く提供しています。

血管内超音波検査(IVUS)はカテーテルベースのイメージング技術であり、これを利用して医師は内部から血管を視覚化して、疾患の有無と程度を評価することができます。IVUSは、患者ごとに適切なインターベンション治療の選択、支援、そして確証に役立ちます。

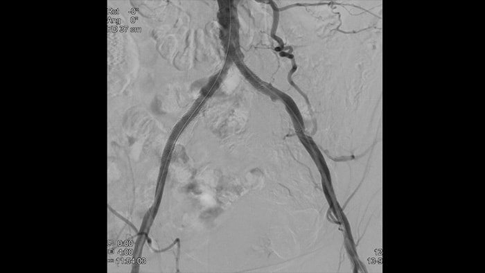
血管の高精細画像は血管の細部まで鮮やかに捉えるため、正確な治療戦略、ナビゲーション、フォローアップをサポートします。
参考文献
You are about to visit a Philips global content page
Continue