虚血性脳卒中患者の第一選択治療として、機械的血栓回収療法が大幅に増加しています。また、この領域では、患者選択が時間ベースから画像ベースへとシフトしています。Philips Neuro suiteは、こうしたトレンドに対応するために開発されました。ワークフローを改善させ、高レベルの治療を支援し、脳卒中患者の転帰を向上することができます。



SmartCT Soft Tissueは、軟部組織をCTのように可視化し、3つの方法で脳卒中診断を支援します。非造影スキャンは、早期虚血性変化の検出に役立ちます。造影スキャンの早期フェーズでは、近位閉塞の識別に役立ちます。造影スキャンの後期フェーズでは、側副路の検出をサポートします。

SmartCT Vasoでは、脳梗塞の梗塞部位の全体像を可視化することができる撮影機能です。SmartCT Vasoは、動脈への造影コーンビームCTに高分解能撮影の技術を組み合わせた撮影技術でrestrictive fillingによる梗塞部位の遠位血管も描出することができ、血栓の位置、長さ、梗塞部位の全体像を視覚化できます。3Dロードマップを組み合わせて使用することにより、術中の血栓回収デバイスのナビゲーションも可能となります。

Dual Viewにより造影コーンビームCT撮影の早期相画像と後期相画像を並べて表示するデュアルビュー機能により、ペナンブラの識別や側副血行路の確認が可能です。

SmartCT Sofy Tissue撮影にて、出血の有無等、治療後の確認を行います。

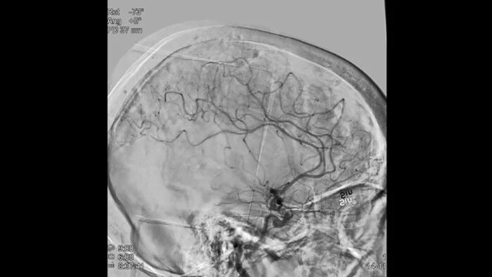
ClarityIQは、DSA撮影中の自動体動補正機能や、リアルタイム画像最適化処理により鮮明な画像を医師します。これにより、脳卒中治療において信頼性の高い画像での意思決定行うことができます。

SmartCT Roadmapでは、ガイドワイヤ、カテーテル、およびデバイスの正確なナビゲーションをサポートする解剖学的なリファレンスを提供します。

高品質のDSA画像により、血栓が完全に回収されたかどうか、血栓の断片が脳内で遠位に分散しているかどうかを評価できます。また、ペナンブラへの血流の回復を確認し、治療前後の血流のチェックをすることができます。

血栓に到達できるかどうか、およびどのルートを使用するかについて、十分な情報をに基づいて判断することができます。Roadmap Proは、放射線被ばくのバランスを保ちながら、重複する血管の視認性を向上させます。
Azurionは、オンコールスタッフが効率的かつ容易に作業できるように設計された多くのワークフローイノベーションを提供し、放射線量を管理し、患者に集中して脳卒中のインターベンションを実施できるように設計されています。


FlexVision Proを使用すると、は、患者情報、術前の診断画像の確認、手技のプランニングをテーブルサイドから直接アクセスして、完全コントロールでき、操作室への移動の無駄を削減することができます。タッチスクリーンモジュールProでは、テーブルサイドで画像やアプリケーションをテーブルサイドで簡単に操作できます。
※FlexVision ProおよびタッチスクリーンモジュールProはAzurion 7専用であり、Azurion 3およびAzurion 5では使用できません。

Instant Parallel Workingにより、チームメンバーは互いに妨げることなく異なるタスクを同時に処理し、脳卒中患者の処置時間を短縮できます。

意識下鎮静で落ち着きのない患者を抑制し、手技中の体動アーチファクトを低減するために使用できます。

Getinge Magnus手術台は、救命救急および外傷治療に使用できます。Azurionと同期しており、フィリップスの先進的なソリューションを活用できます。

モノプレーンアンギオシステムは、脳卒中専用のシステムとして、またはバイプレーンシステムのバックアップシステムとして使用が増えています。Azurion 7 M20は、すべての高度な脳血管インターベンショナルツールに対応しています。
急性期脳卒中ではすべての患者が最善の治療を受けるべきです。ガイドラインの変更により、より多くの患者が経皮的脳血栓回収術の恩恵を受けることができ、血管内治療の適応が広がりました。

参考文献 * 『SmartCT Instructions for Use(SmartCT取扱説明書、英語版のみ)』に記載されているとおり
You are about to visit a Philips global content page
Continue