脳動脈瘤を治療する際には、新しいデバイスを視覚化するのが困難な場合があり、そのために処置時間が長くなる可能性があります。治療方針の決定やデバイスの留置、最適な線量管理には、優れた2Dおよび3Dイメージングがこれまで以上に重要となります。


MR-CT Roadmapを使用すると、術前に撮影したSmartCT AngioまたはCT、MRで撮影された画像をライブ透視にオーバーレイして、病変部の境界とそれに対応する血管新生を視覚化し、リスク評価を役立てることができます。事前に収集したデータを再利用することで、患者被ばく線量と造影剤使用量の管理に役立ちます。

SmartCT Vasoを使用すると、血管内ステント、フローダイバータ、その他のデバイスの視認性が向上するだけでなく、血管の形態を穿通枝レベルまで詳細に確認できます。この画像取得技術は、コーンビームCTスキャンと動脈内造影注入に基づいています。この手法はフローダイバータ、その他のデバイスの視認性が向上するだけでなく、血管の形態を穿通枝レベルまで詳細に確認できます。この画像取得技術は、コーンビームCTスキャンと動脈内造影注入に基づいています。この手法はフローダイバータステントで治療した動脈瘤の追跡検査に使用されるケースが増えています。

SmartCT Roadmapは、重なり合う血管を視覚化して、複雑な血管構造を通過する際のガイドワイヤおよびカテーテルの正確なナビゲーションをサポートします。ガントリ、テーブル、および患者の体動をリアルタイムで補正し、高精度を実現します。

Roadmap Proは、放射線被ばくとのバランスを保ちながら、重なり合う血管の視認性を向上させる高度なロードマップです。コイル留置中の進行状況に合わせてカスタマイズできます。

SmartCT Angioでは、数秒で3D再構成でき、動脈瘤と血管との位置関係、形状、サイズ、重症度を評価し、治療のためのターゲットアングルの決定を支援します。3D画像は高い空間分解能と患者の体動を自動補正して再構成表示します。

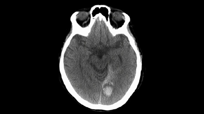
SmartCT Soft Tissue撮影にて、出血の有無等、治療後の確認を行います。
Azurionは、オンコールスタッフが効率的かつ容易に作業できるように設計された多くのワークフローイノベーションを提供し、放射線量を管理し、患者に集中して脳動脈瘤インターベンションを実施できるように設計されています。


ClarityIQテクノロジーは、ClarityIQを使用しないシステムと比較した場合、同等の画質を維持しながらDSAでの患者線量を75%削減します¹。リアルタイム体動補正により、頭蓋骨および体動アーチファクトが除去されます。これは、頭蓋骨の底部にデバイスを留置する際に重要です。

Zero dose positionningを使用すると、テーブルのパン、テーブルの高さの変更、ラストイメージホールドの画像を参照して対象領域を中心にポジショニングが行えるため、X線を出さずにセッティング可能です。

Flexvision Proは、患者情報、術前の診断画像の確認、手技のプランニングをテーブルサイドから直接アクセスして、完全コントロールでき、操作室への移動の無駄を削減することができます。
※FlexVision ProおよびタッチスクリーンモジュールProはAzurion 7専用であり、Azurion 3およびAzurion 5では使用できません。

ProcedureCardは、あらゆるケースにおけるシステム設定を標準化できます。どのような状況でも選択されたシステム設計により同じ品質の医療を患者に提供することが可能です。ある病院では、検査室での準備時間がProcedureCardによって12%短縮されました。²

意識下鎮静で落ち着きのない患者を抑制し、手技中の体動アーチファクトを低減するために使用できます。
参考文献
You are about to visit a Philips global content page
Continue