xMATRIXテクノロジを活用することで、より明瞭な画像でより詳しく観察し、治療法を導きだし、迅速かつ簡便な検査を可能にします。
フィリップスのxMATRIXは、現在の技術の中でも最先端の超音波トランスジューサテクノロジーです。xMATRIXテクノロジーは、素早く簡単にボリュームデータを収集、2Dイメージングでは不可能な断面の提供を実現し、そのすべてが高画質で実現されます。3Dを用いることで解剖と機能を確実に評価し、病変を迅速に特定することができます。

xMATRIXでは、2D、3D/4D、Live 3D Echo、Live xPlane、Live 3D Zoom、Live 3D Full Volume、iRotate、Live MPR、MPR、Mモード、パルス・連続派ドプラ、カラードプラ、CPAなど、1つのトランスジューサですべてのモードを使用できます。3Dデータを取得するためにトランスジューサを切り替える必要はありません。検査終了後でも3D操作やクロッピングツールなどを使用することができます。

xMATRIXトランスジューサは、成人および小児の心臓検査、腹部 / 血管 / 産科 / 婦人科検査、心臓および腹部のインターベンション手術など、幅広く臨床に応用できます。xMATRIXは、各種EPIQ 、Affiniti70およびCX50 xMATRIXに搭載することができます。

スキャン性能のレベルを引き上げたxMATRIXトランスジューサでは、コンピュータボード150台分のパワーと、2,500~9,000超の素子による完全サンプルを用いた360度のフォーカスとステアリングを活用します。当社のnSIGHTおよびPureWaveクリスタルテクノロジと併用することで、パワーはさらに強化されます。
Live Volumeイメージングで優れたボクセル分解能にて、真のリアルタイムフレームレートでフルボリュームデータを収集およびレンダリングできます。
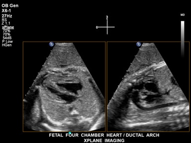
Live xPlaneイメージングは、フル分解能の断面を2断面同時に描出し、通常の2Dイメージングと同じ時間で2倍の臨床情報を取り込むことができます。

スキャン時の快適性
X6-1 xMATRIXトランスジューサは、胎児検査用の画像モードすべてに対応し、高画質な2D画像と胎児心臓のリアルタイム4D画像を提供します。厚み方向のコンパウンドを実現することで、あらゆる深度ですぱっくるノイズ低減とコントラスト分解能を強化します。深度が浅い場合でも、明瞭な2D画像が提供されます。
xMATRIXのiSTICは、胎児心周期における高分解能のボリュームループを、わずか2秒(従来のSTICでは12秒)で収集できます。良く動いている胎児も容易に撮影できるため、胎児心臓の異常を早期に検出でき、コストのかかる再撮影や、患者とスタッフが再検査にかける時間と手間を減らせます。

胎児の明瞭な3D画像は、この二分脊椎の事例のような異常をより確実に早期発見するのに役立ちます。

これは、Live xPlaneイメージングを使用して提供された、胎児心臓の四腔およびDuctal archを示す2枚の画像です。
Jacques Abramowicz, Director of OB Ultrasound and Co-Director of Fetal and Neo-Natal Medicine Center, Rush University, Chicago, Illinois
You are about to visit a Philips global content page
Continue