

株式会社フィリップス・ジャパンは、世界初※1のAI※2搭載マルチエナジースペクトラルCTである新製品「Verida(ヴェリーダ)」を、4月17日(金)より販売開始します。
日本国内の医療現場では、少子高齢化の進行に伴う医療需要の増加に加え、医療従事者の長時間労働や慢性的な人材不足が深刻な社会課題となっています。特に放射線診療領域では、検査件数の増加や高度化する診断ニーズに対応するため、限られた人員でより多くの検査を安全かつ高品質に実施することが求められています。その一方で、長時間の検査対応や画像再構成・読影準備に要する業務負担が、医療従事者の働き方改革を妨げる要因の一つとなっています。
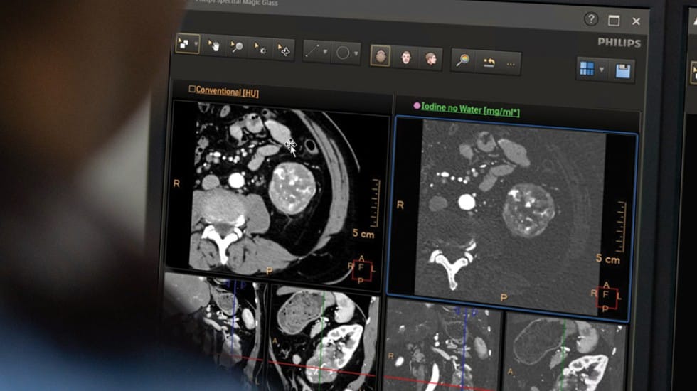
このたびフィリップスが発売する「Verida」は、CT撮影から画像再構成に至る画像取得(イメージングチェーン)の工程にAIを統合した、世界初のディテクターベース・マルチエナジースペクトラルCTです。Veridaは、従来のCT検査と同一のワークフローで、1回の撮影から高精細な通常画像と豊富なスペクトラル情報を同時に取得することが可能です。これにより、検査効率の向上と再撮影の低減を通じて、医療従事者の業務負担軽減とワークフロー改善をサポートします。Veridaの導入により、診断精度の向上とともに、放射線科を中心とした医療現場全体の生産性向上が期待されます。
1. 世界初AI搭載ディテクターベース・マルチエナジースペクトラルCT Veridaは、フィリップスが先駆的に開発・臨床普及を進めてきたディテクターベース・スペクトラルCT技術に、先進的なAI技術を統合した世界初のCTシステムです。撮影、検出、画像再構成といった一連のCT画像取得の工程にAIを活用することで、システムノイズを低減し、高精細で安定した画質を実現します。また、通常のCT検査と同一のワークフローで、1回の撮影から高品質な通常画像と豊富なスペクトラル情報を同時に取得することが可能です。これにより、検査条件の追加設定や撮り直しを必要とせず、診断に有用な情報のより迅速かつ確実な提供に寄与し、診断の信頼性向上に貢献します。 2. 高速画像再構成による検査スループット向上と業務効率化 Veridaは、最大毎秒145枚※ 3の高速画像再構成を可能にし、検査終了後30秒以内※3に検査全体の画像を自動的に表示できます。これにより、検査後の待機時間や読影準備に要する時間を大幅に短縮し、放射線科における検査スループットの向上を支援します。 検査件数が増加する一方で人材不足が課題となる医療現場において、Veridaは限られたスタッフでも効率的な検査運用を可能にし、1日あたりの検査対応数の増加に寄与します。結果として、医療従事者の業務負担を軽減するとともに、患者の待ち時間短縮など、医療サービス全体の質向上が期待されます。 3. 被ばく低減と持続可能な医療体制の構築を支援 Veridaは、マルチパスAI独自方式※ 4を採用した画像再構成技術により、画質を維持しながら被ばく線量の低減が期待される設計となっています。診断に必要な情報を効率的に引き出すことで、不必要な再撮影の抑制にもつながり、患者にとってより安全な検査環境の提供に貢献します。 さらに、システムの効率化によりエネルギー消費の削減も見込まれ、医療機関における環境負荷低減や運用コストの最適化を支援します。Veridaは、高度な診断性能と業務効率化を両立させることで、医療従事者・患者・医療機関のすべてに配慮した、持続可能な医療提供体制の構築に貢献します。
※ 1. フィリップス調べ。ディテクターベース・スペクトラルCTにおいて、撮影から再構成までの工程にAIを統合したCTシステムとして。 ※2:本AI技術は、自動的に装置の性能・精度が変化するものではありません。 ※3:社内で取得したファントムデータ。 ※4:畳み込みニューラルネットワーク(CNN)の学習により設計された再構成アルゴリズム。
販売名:Verida(ヴェリーダ) 医療機器認証番号:308AFBZX00019000 管理医療機器/特定保守管理医療機器/設置管理医療機器
株式会社フィリップス・ジャパンは、ロイヤル フィリップスの日本法人として1953年に創業以来、革新的な技術を通じ、人々のより良い健康と満ち足りた生活の実現を目指しています。主な事業領域は、画像診断、超音波診断、イメージガイド下治療、生体情報モニタ、ヘルスインフォマティクス、睡眠・呼吸治療、およびパーソナルヘルスと多岐に渡ります。ヘルステクノロジーのリーディングカンパニーとして、超高齢化が進む日本の医療・健康課題解決に向け取り組んでいます。日本の従業員数は約2,000人、約70拠点でビジネスを展開しています。(https://www.philips.co.jp)
ロイヤル フィリップス(NYSE:PHG, AEX:PHI)は、革新的な技術を通じ、人々のより良い健康と満ち足りた生活の実現を目指す、ヘルステクノロジーのリーディングカンパニーです フィリップスの革新的技術は人々を中心に設計されています。先進的技術と医療従事者および消費者のインサイトを活用し、消費者にはパーソナルヘルスソリューションを、医療従事者とその患者様には病院や家庭でのプロフェッショナルヘルスソリューションを提供しています。 オランダに本社を置く当社は、画像診断、超音波診断、イメージガイド下治療、生体情報モニタ、ヘルスインフォマティクス、およびパーソナルヘルスの分野で世界をリードしています。フィリップスの2025年の売上高は180億ユーロ、全世界に約64,800人の従業員を擁し、世界100か国以上でビジネスを展開しています。フィリップスに関するニュースはこちらからご覧ください。(http://www.philips.com/newscenter/)
報道関係者様専用メールお問い合わせ先 株式会社フィリップス・ジャパン コミュニケーション担当